部分床義歯(部分入れ歯)
様々な理由によりインプラントの治療ができないときは、部分床義歯(部分入れ歯)を作製します。よく咬めて、長く機能するものを作製しています。特徴として、鉤歯(義歯が動かないように固定するためのクラスプ〈金属でできた爪〉をかける歯)と義歯を同時に作製します。トランスファーコーピング、ミリング加工といった特殊な技工作業を必要とし、難しい精密な作業ですが、部分床義歯としては究極のものを作ることができます。
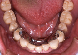
以下に、下顎の左右の小臼歯、大臼歯の欠損の症例を示します。
-

鉤歯と下顎の部分床義歯
-

鉤歯と下顎の部分床義歯
(左の写真の裏面) -

口腔内にセットした状態


